Tháng cô hồn có nên làm răng không? Giải mã tâm linh và lời khuyên từ chuyên gia
Tháng cô hồn có nên làm răng không? Đây là câu hỏi mà nhiều người đặt ra mỗi dịp tháng 7 âm lịch – thời điểm được xem là “nhạy cảm” trong quan niệm tâm linh của người Việt. Nhiều người lo ngại việc làm răng, như bọc răng sứ, cấy ghép Implant, hay niềng răng, có thể mang lại rủi ro không mong muốn. Tuy nhiên, từ góc độ y khoa, việc trì hoãn điều trị có thể khiến các bệnh lý răng miệng như viêm tủy, sâu răng, viêm nướu trở nên nghiêm trọng hơn. Tại Nha khoa Tâm Đức Smile, các bác sĩ vẫn làm việc xuyên suốt tháng cô hồn, đảm bảo quy trình vô trùng – an toàn tuyệt đối cho Quý khách. Vì vậy, việc quyết định nên hay không làm răng tháng cô hồn nên dựa trên cả sức khỏe răng miệng và niềm tin cá nhân.
1. Tháng cô hồn làm răng được không?
Tháng cô hồn, hay còn gọi là tháng bảy âm lịch, là thời điểm mà theo quan niệm dân gian nên tránh làm những việc quan trọng. Vậy làm răng trong tháng cô hồn có thực sự cần phải tránh hay không? Mời bạn tiếp tục theo dõi nội dung dưới đây.
1.1. Làm răng trong tháng cô hồn theo quan niệm dân gian
Theo dân gian, tháng cô hồn là thời gian mà cõi âm và cõi dương gần nhau hơn. Nhiều người tin rằng làm răng, đặc biệt là nhổ răng, sẽ chảy máu, thu hút ma quỷ và mang lại xui xẻo. Làm răng có thể gây đau đớn, khó chịu, làm bạn lo âu, bất an. Trong tháng cô hồn, tâm lý con người vốn đã dễ bị ảnh hưởng bởi những yếu tố tâm linh, nên những cảm giác này càng được khuếch đại. Tuy nhiên, những quan niệm này chủ yếu dựa trên niềm tin tâm linh và không có cơ sở khoa học cụ thể.

Những quan niệm trong tháng cô hồn thường không có cơ sở khoa học cụ thể
1.2. Làm răng theo quan điểm khoa học
Theo khoa học, làm răng trong tháng cô hồn cũng giống như các tháng khác trong năm, không ảnh hưởng gì đến sức khỏe hay vận mệnh của bạn. Chăm sóc sức khỏe răng miệng rất quan trọng, nếu trì hoãn điều trị sẽ dẫn đến hậu quả như: Sâu răng, viêm nha chu,... Bác sĩ khuyến nghị rằng, làm răng nên được thực hiện khi cần thiết, bất kể thời gian nào. Điều quan trọng là tìm được nha khoa uy tín, có lịch trình hợp lý để đảm bảo quá trình điều trị diễn ra an toàn và hiệu quả.
2. Dấu hiệu cho thấy bạn cần làm răng càng sớm càng tốt
Sức khỏe răng miệng là tiền đề quan trọng cho sức khỏe toàn diện. Do đó, phát hiện sớm và điều trị kịp thời các vấn đề về răng miệng là vô cùng cần thiết. Dưới đây là những dấu hiệu cho thấy bạn nên làm răng càng sớm càng tốt để tránh những biến chứng không mong muốn.
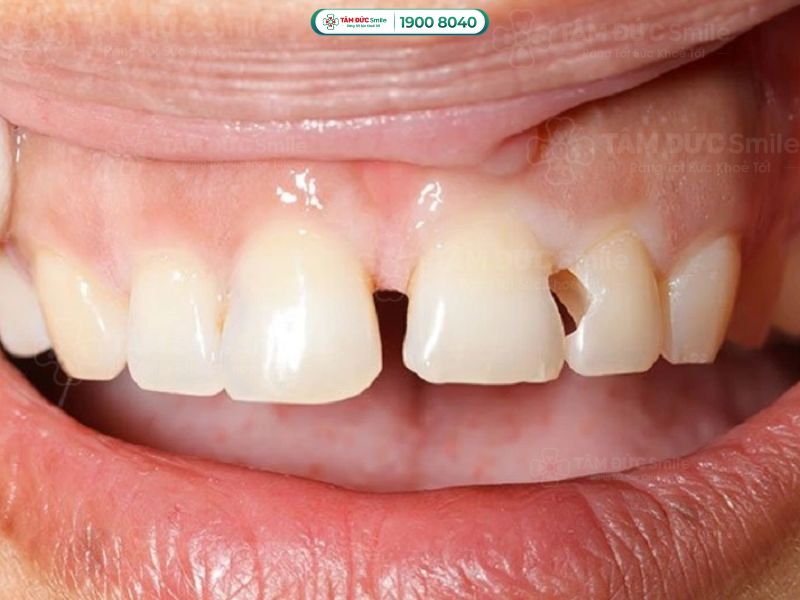
2.1. Răng bị mẻ, nứt thân răng
Vết mẻ hoặc nứt tạo ra các kẽ hở, tạo cơ hội cho vi khuẩn xâm nhập và gây viêm nhiễm. Nếu không điều trị, vết nứt mẻ càng lan rộng dọc theo thân răng, gây đau nhức dữ dội và dẫn đến viêm tủy, áp xe răng. Vết nứt càng sâu, càng làm suy yếu cấu trúc răng, khiến răng dễ bị gãy vỡ hoặc rụng. Điều này không chỉ gây đau đớn mà còn làm phức tạp hơn quá trình điều trị sau này.
Răng bị tổn thương còn ảnh hưởng đến nướu và xương hàm, dẫn đến các vấn đề như: Viêm nướu, tụt nướu, thậm chí là mất răng,...

Vết mẻ hoặc nứt tạo ra các kẽ hở, tạo cơ hội cho vi khuẩn xâm nhập và gây viêm nhiễm
2.2. Răng bị sâu gây đau nhức
Nếu không điều trị kịp thời, vi khuẩn sâu răng sẽ tấn công và phá hủy các mô xung quanh, làm lỗ sâu ngày càng to. Sâu răng làm bạn đau nhức dữ dội, dẫn đến nhiễm trùng tủy răng, áp xe răng,... Áp xe răng còn gây ra những biến chứng nguy hiểm như: Nhiễm trùng máu, áp xe xương hàm, ảnh hưởng đến sức khỏe tổng thể.
Điều trị sâu răng ở giai đoạn đầu ít tốn kém hơn, bạn chỉ cần trám răng. Nhưng nếu để tình trạng kéo dài, bạn cần phải điều trị tủy răng hoặc nhổ răng, làm quy trình phức tạp và tốn kém hơn.
2.3. Răng bị gãy, rụng còn chân răng
Răng bị gãy còn chân răng sẽ tạo môi trường thuận lợi cho vi khuẩn xâm nhập, gây viêm nướu, áp xe răng, nhiễm trùng xương hàm,... Răng bị gãy, rụng làm bạn khó khăn khi ăn nhai, đặc biệt là các thức ăn cứng, dai. Ăn uống thiếu hụt dưỡng chất làm suy giảm hệ miễn dịch, rối loạn tiêu hóa, mất cân bằng dinh dưỡng,...
Hơn nữa, răng bị gãy rụng làm thay đổi khớp cắn, dẫn đến các vấn đề về khớp thái dương hàm, khả năng phát âm,.... Ngoài ra, răng bị rụng, xương hàm không còn được kích thích bởi lực nhai, dẫn đến tiêu xương hàm. Qua đó sẽ ảnh hưởng đến thẩm mỹ, làm khuôn mặt bạn nhanh lão hóa và mất cân đối.

Răng bị gãy còn chân răng sẽ tạo môi trường thuận lợi cho vi khuẩn xâm nhập
2.4. Răng có mảng bám đen
Mảng bám đen là dấu hiệu ban đầu của sâu răng hoặc viêm nướu và viêm nha chu. Vi khuẩn trong mảng bám tạo ra axit phá hủy men răng và gây sâu răng. Lâu dần, sâu răng lan rộng làm tổn thương tủy răng và các cấu trúc lân cận. Điều này dẫn đến viêm tủy răng, áp xe răng, thậm chí mất răng. Hơn nữa, vi khuẩn trong mảng bám đen phân hủy protein, tạo ra hợp chất lưu huỳnh có mùi hôi khó chịu, làm bạn mất tự tin khi giao tiếp.
2.5. Răng bị lệch khớp cắn
Lệch khớp cắn gây khó khăn trong việc nhai thức ăn, làm giảm hiệu quả tiêu hóa và hấp thu dinh dưỡng. Do thức ăn không được nhai kỹ, làm bạn rối loạn tiêu hóa, đầy bụng, khó tiêu,... Lực nhai phân tán không đều nên một số răng chịu lực nhai lớn dẫn đến đau nhức khớp thái dương hàm, mòn răng,...
Lệch khớp cắn còn gây khó khăn khi vệ sinh răng miệng, do các răng không thẳng hàng tạo ra nhiều kẽ hở và góc cạnh khó tiếp cận. Điều này tạo môi trường thuận lợi cho vi khuẩn tích tụ, tăng nguy cơ sâu răng, viêm nướu.

Lệch khớp cắn gây khó khăn trong việc nhai thức ăn
3. Các trường hợp không nên làm răng vào tháng cô hồn
Về mặt y khoa, không có bằng chứng nào chứng minh làm răng vào tháng cô hồn ảnh hưởng đến sức khỏe hay kết quả điều trị. Những kiêng kỵ này xuất phát từ yếu tố tâm linh và văn hóa truyền thống. Tuy nhiên, có một số trường hợp sau đây không nên làm răng vào tháng cô hồn.
3.1. Về mặt sức khỏe
Nếu trong tháng cô hồn bạn đang có các dấu hiệu sau, bạn nên trì hoãn làm răng và ưu tiên gặp bác sĩ trước:
- Các bệnh cấp tính, mãn tính: Làm răng trong lúc sức khỏe yếu sẽ làm bạn dễ bị nhiễm trùng, ảnh hưởng đến quá trình phục hồi sau điều trị. Một số bệnh bạn cần lưu ý như: Tim mạch, huyết áp, tiểu đường, rối loạn đông máu, ung thư,...
- Mang thai: Phụ nữ mang thai, đặc biệt là trong ba tháng đầu và ba tháng cuối của thai kỳ, nên tránh các thủ thuật nha khoa. Sử dụng thuốc tê và tia X-quang sẽ ảnh hưởng đến cả thai phụ và thai nhi. Hơn nữa, làm răng trong giai đoạn này gây căng thẳng, đau đớn, làm ảnh hưởng đến sức khỏe của mẹ và bé.
- Ngày có kinh nguyệt: Trong kỳ kinh nguyệt, cơ thể phụ nữ thay đổi nội tiết tố, lượng estrogen và progesterone tăng cao. Những thay đổi này ảnh hưởng đến khả năng đông máu, làm bạn chảy máu nhiều hơn khi làm răng.
- Hệ miễn dịch suy yếu: Nếu hệ miễn dịch của bạn suy yếu và đang điều trị bằng thuốc ức chế miễn dịch thì tháng cô hồn bạn không nên làm răng. Hệ miễn dịch suy yếu, làm răng sẽ tiềm ẩn nguy cơ nhiễm trùng cao.

Phụ nữ mang thai nên tránh các thủ thuật nha khoa
3.2. Về mặt kinh tế
Chi phí điều trị nha khoa dao động tùy thuộc vào loại dịch vụ, thương hiệu và tình trạng răng miệng của bạn. Một số dịch vụ nha khoa có chi phí cao như: Niềng răng, bọc răng sứ,... có thể lên đến vài chục triệu đồng. Trong trường hợp này, nếu điều trị răng miệng không quá khẩn cấp, bạn nên cân nhắc hoãn lại để tránh gánh nặng tài chính. Tuy nhiên, bạn không nên trì hoãn quá lâu vì sẽ làm vấn đề răng miệng nghiêm trọng hơn và tăng chi phí điều trị sau này.
4. Lời khuyên về giữ gìn sức khỏe răng miệng
Giữ gìn sức khỏe răng miệng không chỉ quan trọng trong tháng cô hồn mà còn là việc cần thiết mỗi ngày. Dưới đây là một số lời khuyên giúp bạn bảo vệ và duy trì sức khỏe răng miệng hiệu quả:
- Chải răng đúng cách: Bạn nên chải răng ít nhất hai lần mỗi ngày (sáng và tối), bằng kem đánh răng có chứa fluoride. Sử dụng bàn chải có lông mềm và thay bàn chải mỗi 3-4 tháng hoặc khi lông bàn chải bị mòn.
- Sử dụng máy tăm nước hoặc chỉ nha khoa: Chỉ nha và máy tăm nước giúp làm sạch thức ăn thừa giữa các kẽ răng, ngăn ngừa sâu răng và viêm nướu. Bạn không nên sử dụng tăm hoặc vật sắc nhọn để lấy thức ăn vì sẽ làm tổn thương nướu và đẩy thức ăn vào sâu hơn.
- Súc miệng với nước muối hoặc dung dịch sát khuẩn: Bạn nên súc miệng hàng ngày với nước muối ấm hoặc dung dịch sát khuẩn. Việc làm này giúp tiêu diệt vi khuẩn, giảm viêm nướu và giữ cho hơi thở luôn thơm mát.
- Hạn chế đồ ăn ngọt và nước có gas: Đồ ăn ngọt và nước có gas gây sâu răng và làm mòn men răng. Do đó, bạn nên hạn chế tiêu thụ các loại thực phẩm này và luôn uống nước lọc sau khi ăn uống để làm sạch miệng.
- Ăn uống cân bằng và lành mạnh: Bạn nên ăn nhiều trái cây, rau xanh, sữa,... để cung cấp đủ vitamin và khoáng chất cho răng và nướu.
- Kiểm tra răng miệng định kỳ: Dù là tháng cô hồn hay không, kiểm tra răng miệng định kỳ là điều cần thiết để phát hiện sớm và điều trị kịp thời vấn đề răng miệng.

Kiểm tra răng miệng định kỳ là điều cần thiết để phát hiện sớm và điều trị kịp thời vấn đề răng miệng
Hy vọng bài viết này đã giúp bạn tìm kiếm được câu trả lời cho câu hỏi tháng cô hồn có làm răng được không. Tháng cô hồn không phải là rào cản về mặt y khoa, làm răng trong thời gian này vẫn an toàn, hiệu quả nếu bạn chọn nha khoa uy tín. Bên cạnh đó, bạn nên giữ gìn sức khỏe răng miệng và khám răng định kỳ để điều trị kịp thời vấn đề nha khoa, tránh biến chứng nguy hiểm.
Bạn đang gặp vấn đề về răng miệng, hãy liên hệ với nha khoa Tâm Đức Smile để được tư vấn miễn phí bằng cách:
- Gọi đến Hotline 19008040 - 0329851079 (Có sử dụng Zalo/Viber).
- Điền thông tin vào bảng sau đây.


